Глава 3 Как возникают воспоминания
Когда год назад умерла моя мать, нам с братом пришлось разбирать ее вещи. Она жила в своем доме тридцать лет, почти все время одна, потому что отец умер через несколько месяцев после их переезда в этот дом, о котором они давно мечтали и на который десять лет копили деньги. В эти тридцать лет дом был подобием заботливо сохраняемого мавзолея, в котором мать играла роль смотрительницы. Она вела двойное существование: днем строгое и посвященное работе (пока за несколько лет до смерти не вышла на пенсию), а вечера и выходные дни проводила дома, сблизившись с мисс Хэвишем и посвятив себя сохранению того, что осталось ей от прежней, семейной жизни. Платье моего отца годами продолжало висеть в гардеробе, а некоторые его вещи мы нашли и после смерти матери. Это не удивило меня, но я совершенно не ожидал, что она хранила так много других предметов, сложенных в пыльных коробках на чердаке или на верхних, годами не открывавшихся, полках шкафов. Конечно, все мы храним письма любимых, распашонки детей, а позднее — их школьные сочинения. Но для моей матери это было только началом. У нее сохранялась воинственная переписка двадцатилетней давности с полицейскими инспекторами относительно штрафа за парковку машины в неположенном месте, нашлись корешки чековых книжек и банковские квитанции пятидесятых годов, театральные билеты и программы тридцатых годов — целый клад всевозможных мелочей.
Мать жила воспоминаниями. События повседневной жизни преломлялись для нее через призму прожитого. Когда ее приглашали в ресторан, подаваемые блюда, даже самые изысканные, она оценивала в сравнении с минувшими трапезами и находила их хуже, если они не вызывали ассоциаций с прошлым; тогда она смаковала их как бы ретроспективно. Ей нужно было постоянно обращаться к прошлому, чтобы существовать в этом мире, ощущать в нем свое место и само право на жизнь. Когда однажды дом ограбили и она лишилась части своих сокровищ — чайника, оставшегося еще от ее матери, и серебряной кружки, подаренной мне моей крестной по случаю обрезания, — она горевала не столько о самих вещах, сколько о тех частицах прошлого, которые ушли вместе с ними, оставив обедненным ее внутренний мир.
Казалось, что ее воспоминания хранились не в ней самой, а в этих вещественных свидетелях прошлого. Память была нужна ей, чтобы знать свое положение в окружающем мире, и чтобы сохранить ее, она окружала себя панцирем, оболочкой из вещей-напоминаний. Когда мы сложили костер в дальнем углу сада и сожгли остатки чековых книжек, мы точно так же похоронили ее, предав их огню, как на кладбище, когда опустили гроб в землю.
Конечно, не одна она с таким упорством сохраняла свидетельства прошлого, убеждавшие ее не только в том, что она продолжает жить, но и в том, что ее нынешняя жизнь неразрывно связана с предшествующей. Во всем мире ежесекундно звучат тихие щелчки тысяч фотоаппаратов и слабое жужжание видеокамер, с помощью которых мы фиксируем настоящее, будь то на пляже, на свадьбе, перед Тадж-Махалом или во дворике собственного дома. Что нам делать с этими миллионами изображений, свидетельствами того, что тогда мы жили, наблюдали, чувствовали, думали...? Большинство фотографий в моем доме лежит беспорядочными грудами в ящиках стола и в шкафах, дожидаясь дня, когда, может быть, будет рассортировано. Конечно, они хранят наши воспоминания или, во всяком случае, имеют к ним не меньшее отношение, чем искусственный «интеллект» компьютеров к настоящему, человеческому интеллекту.
Как и почему мы помним? Некоторые старые воспоминания, несомненно, подсказаны нам. Мать часто рассказывала мне об одном эпизоде из моего детства, начиная словами: «Ты, конечно, помнишь...». Я отвечал утвердительно, но никогда не знал, действительно ли она пробуждала во мне старое воспоминание или заново формировала его, внушая, что я должен помнить. Однако явно не все подсказано. Вот самое раннее из моих собственных воспоминаний: ночное небо, которое я вижу, когда меня, завернутого в одеяло, несут на плече в бомбоубежище в нижней части сада, принадлежавшего дедушке и бабушке.
Помню я и сами убежища: сначала это был выкрашенный желтоватой краской стол в металлической раме, под которым мы прятались, заслышав сирену, а позднее (хотя я не представляю, сколько прошло времени) — кирпичный сарай в саду, с койками, с которых свешивались ноги взрослых в носках. Никто другой не внушал мне эти воспоминания, потому что я четко видел описанные картины обостренным зрением ребенка. Подобно многим детским воспоминаниям, они не линейны, это не ряд последовательных событий, а скорее похожи на «фотографии», только дополненные осязательными ощущениями, звуками и запахами.
«Я сижу на чьих-то коленях, и меня кормят кашей. Тарелка стоит на серой, с красной каймой клеенке: сама тарелка чисто белая, с голубыми цветочками и отражает рассеянный свет, проникающий через окно. Наклоняя голову в стороны и вперед, я пытаюсь рассматривать предметы из разных положений. Когда я двигаю головой, блики на тарелке меняются, приобретают новые очертания. Неожиданно меня тошнит прямо в тарелку и на клеенку. Вероятно, это мое самое первое воспоминание». [1]
Этими словами великий шведский кинорежиссер Ингмар Бергман начинает свою автобиографию, созданную через 70 лет после описанного эпизода, и во многих его фильмах отражены хранимые в памяти события детства — запечатленные в мозгу моментальные снимки, которые трансформируются для всеобщего обозрения в движущиеся на экране образы.
Другой такой моментальный снимок — эпизод из празднования моего дня рождения. Мне исполнилось четыре года, и я вместе с гостями бегаю вокруг клумбы роз, раскинув руки, потому что изображаю, самолет. Но что было до и после этого остановившегося мгновения? Кто были мои гости? Был ли на празднике именинный пирог? Я не имею об этом понятия, не знаю даже, где находился сад, в котором мы играли в самолеты, подражая настоящим истребителям и бомбардировщикам, которые часто пролетали над нашими головами.
Конечно, в известной мере я преобразовал такие воспоминания. Одержимый желанием узнать, как глубоко можно заглянуть в собственное детство, я извлек эти хранившиеся в памяти фотографии, заново проявил и напечатал их, несколько по-иному обрезал, сделал матовыми или глянцевыми, черно-белыми или цветными, увеличил, чтобы они подошли к новым рамкам, т. е. сделал то же, что Бергман, который трансформировал свои воспоминания, чтобы показать их публике. Всякий раз, когда я вспоминаю эти события, я воссоздаю их заново. Сейчас, когда я пишу эти строки, они перестают быть воспоминаниями лондонских эпизодов моего военного детства начала сороковых годов и преобразуются — в процессе их воскрешения и описания — в память сегодняшнего дня.
Однако такое постоянное подновление воспоминаний не всегда необходимо. Около года назад я повстречал подругу детства и соседку, которую не видел несколько десятилетий. Она спросила, не помню ли я человека, который работал в саду моих и ее родителей, создавая оригинальные узоры из ярко-красных и белых крокусов. Я не припоминал такого. Но стоило ей назвать его имя — мистер Госс, — которое я не слышал и о котором не думал четыре десятка лет, и мне тут же четко представился его образ: сначала темно-синие брюки из грубой ткани, потом резиновые сапоги и, наконец, худое, обветренное лицо. Как эти признаки оставались связанными с именем, которого я не помнил все эти годы и которое как-то сохранялось в моем мозгу? Ведь при его упоминании образ его носителя отыскался в моей памяти гораздо скорее, чем если бы я стал искать одну определенную фотографию в беспорядочной кипе снимков, наваленных в шкафу. Как объяснить очевидную случайность запоминания — тот факт, что я смог воссоздать образ мистера Госса по слабому намеку, но не способен иной раз восстановить в памяти имя человека, с которым обедал две недели назад? Или я целиком придумал облик мистера Госса по подсказке моей знакомой? Чего в памяти больше, реальности или фантазии? У меня нет ответа.
Таковы вопросы, которыми я задаюсь и которым посвящена моя книга. Но почему меня это так интересует и какие ответы я хотел бы получить? Психоаналитики, несомненно, предложили бы свое объяснение и моим исканиям, и моей способности вспомнить мистера Госса спустя столько лет и... даже забыть его в промежутке. Быть может, Деннис Портер положил бы это объяснение в основу телесериала «Поющий ученый»? Марселю Прусту в его обитой пробкой парижской комнате вкус бисквитного пирожного, переработанный памятью в цикл романов, помог создать двенадцатитомную эпопею «В поисках утраченного времени». Но я не драматург, не романист, даже не психоаналитик и не объект психоанализа. Мои вопросы относительно памяти — это вопросы нейробиолога, ищущего способы расшифровать память как Розеттский камень мозга. Возможно, очерк моей собственной жизни поможет понять смысл тех поисков, которым посвящены следующие главы.
Я был предвоенным ребенком. В Британии слово «предвоенный» всегда означает период до 1936-1945 гг.: таким образом, речь не идет о десятках мелких неоколониальных войн, которые позже на протяжении 45 лет вела самая опытная в мире и, пожалуй, наиболее дорогостоящая армия. Во время Второй мировой войны мой отец, сионист и антифашист, ушел добровольцем в армию, и я рос у родителей матери в скромном пригороде северо-западного Лондона — одном из пунктов классического пути миграций евреев ашкенази, которые в начале века пришли из России и Польши и осели в восточной части Лондона. Они воспитали меня как прилежного школьника, респектабельного еврейского юношу, как старшего внука, потворствуя моему раннему развитию и, по мнению некоторых, так меня испортив, как не портили собственных старших сыновей и дочерей. Дело в том, что я начал читать детские книжки по естественной истории, излагавшейся в форме эволюционных «сказок просто так», которые сегодняшнее телевидение, благодаря Дэвиду Эттенборо, рассказывает гораздо лучше. Отец вернулся с войны, счастливый возможностью продолжать формирование подающего надежды интеллектуала. Когда мне исполнилось восемь лет, я получил в подарок «Происхождение видов» Дарвина и химический набор. По правде говоря, я смог продвинуться дальше первых глав полученной книги лишь спустя много лет, но идея была мне хорошо известна из книжек по естественной истории, прочитанных ранее. Теперь я каждую субботу просиживал с другими мальчиками в задних помещениях синагоги и объяснял им, пока меня не унимал педель, почему нет нужды выдумывать бога, чтобы понять, как человек произошел от обезьяны, а еще раньше — от амебы и как Земля была оторвана от Солнца проходившей поблизости звездой (популярная в то время теория). Что было до этого? Очень просто: Вселенная произошла в результате мощного взрыва, а перед тем вообще ничего не существовало; в это «ничего» было так же легко поверить, как в бога (я и сейчас не нахожу противоречий в безупречной логике этого постулата).
Эволюция служила теоретической основой, а химия давала метод. Я часами колдовал в садовой беседке, мыл пробирки и выполнял случайные поручения местного аптекаря в обмен на реактивы и химическую посуду (его сын впоследствии стал преподавателем биохимии в медицинском училище; по-видимому, сыграла роль жизненная среда). Мы ставили «опыты», пользуясь поваренной книгой (иногда они удавались), и проводили бесконечные часы, пытаясь получить взрывчатые смеси для изготовления ракетного топлива. Наука для меня была уже не только средством познания мира, но и средством его изменения, хотя я не читал Маркса даже в адаптированных для детей изданиях.
Чтобы поставить старшего сына на путь, ведущий наверх, мои родители поместили меня в привилегированную школу в северо-западном районе Лондона, в которой введено было много ограничений с целью оградить ее от давления проживавших в округе евреев — родителей школьников. Число евреев среди учеников не могло превышать 10%, дабы не портить репутацию заведения. Но именно эта привилегированная школа стала для меня ступенью на пути в ряды поборников социальных перемен в Британии. Опыты по запуску ракет в садовой беседке естественно привели к увлечению физикой и химией в школе. Иудаизм связывал бога и семью, и я не был в состоянии разорвать эту связь. Оглядываясь назад, я думаю, что отчаянно стремился вырваться из удушливой атмосферы городской окраины. Честолюбие, эскапизм и надежда получить стипендию привели меня в Кембридж, где я хотел изучать естественные и общественные науки, чтобы познавать и изменять мир.
Что служит ключом к пониманию Вселенной? Несмотря на учение Дарвина, биология в основном казалась лишь собранием историй о нашем мире, возможно, более правдоподобных, чем сказки Редьярда Киплинга, но не позволявших что-либо объяснять и, опираясь на объяснение, изменять и направлять. Химия, физика, математика — это были полноправные научные дисциплины, они объединяли мир, а не дробили его на осколки, из которых бессистемно складываются калейдоскопические фигуры. Упорядоченность, упрощение, выработку правил — все это, наверное, я стремился найти в науке.
Как в науке, так и в жизни? Я начал студенческую жизнь, будучи увлеченным, но не слишком сильным шахматистом, считая шахматы игрой, требующей только рассудочности и умения мыслить логически. Но, играя вечерами партию за партией, я стал, к своему недоумению, убеждаться, что некоторые соперники всегда обыгрывали меня, хотя я был уверен, что на самом деле они были ничуть не сильнее. Садясь с ними за доску, я теперь знал, что проиграю, еще до того как делались первые ходы. Уверенность в себе покидала меня по мере того, как росла у моих соперников, и я играл против них все слабее и слабее. Почему это происходило, почему эмоции (иррациональные эмоции) мешают успеху в такой чисто рассудочной игре, как шахматы? Я бросил их, не в силах преодолеть отвращение перед собственной неспособностью победить эту слабость, и стал играть в покер. Это игра, где успех зависит не от случая, а скорее от соревновательного настроя, при котором чувство превалирует над рассудком; к тому же она оказалась гораздо более прибыльной. Я понял, что рассудок нельзя отделить от чувства, как бы нам того ни хотелось. Но даже сегодня я часто ловлю себя на мысли, что мне грозит опасность забыть этот урок, хотя проблемы, для которых он важен, относятся к числу фундаментальных проблем стратегии моих исследований, а их разрешение должно было бы заложить основы стратегии жизни.
Между тем мягкая настойчивость моих университетских воспитателей побудила меня добавить к числу изучавшихся мною наук физиологию. Не имея формальной физиологической подготовки, не зная наружного строения организмов и взаимоотношений между ними, я начал знакомиться с функциями их кровеносной и дыхательной систем и даже с работой мозга. Как выяснилось, эти функции тоже подчиняются определенным правилам, поддаются математическому моделированию и изучению с помощью физических приборов, имеют определенную химическую основу. Я открыл для себя новую увлекательную область, пограничную между химией и физиологией, которая называлась биохимией; этого слова я никогда даже не слышал в школе. Стремление к новизне и явная неспособность к математике, все больше тормозившая изучение физики, однозначно определили выбор дальнейшей специализации.
Обстановка в Кембридже конца пятидесятых годов благоприятствовала занятиям биохимией. Собственно говоря, сама эта наука рождалась именно здесь в десятые — двадцатые годы нынешнего столетия, а с тридцатых годов биохимия Кембриджа, главой которой был Фредерик Гоуленд Хопкинс, занимала ведущее положение в мире. И хотя в пятидесятые годы популярность биохимии пошла на убыль и ее стала дерзко оттеснять более молодая соперница — молекулярная биологоя (в свою очередь возникшая в физических лабораториях Кавендиша, всего в двух сотнях метров от биохимического отдег она сохранила огромный интеллектуальный потенциал. Поэтому, еще будучи студентами, мы и бровью не повели, когда однажды утром, войдя в холл нашего отдела, нашли его залитым шампанским по случаю присуждения Нобелевской премии одному из наших учителей, Фредерику Сэнгеру, за расшифровку структуры небольшого белка — гормона инсулина. Это достижение представлялось нам столь же интересным, как открытие двойной спирали ДНК, сделанное в Кавендишских лабораториях тремя годами раньше Уотсоном и Криком (которые, как теперь всем известно, использовали рентгеноструктурные данные Розалинды Франклин).
Нам внушали, что за биохимией будущее, и многие из нас соблазнились этим. Лишь много позже я осознал, какое наследие оставил Гоуленд Хопкинс, сформировав стиль нашего отдела. Убежденный либерал, он создал свою лабораторию в тридцатые годы, чтобы дать работу целому поколению беженцев из нацистской Германии, которые впоследствии и в Англии, и в США заложили основы современной биохимии, за что получили целую кучу Нобелевских премий и увидели свои имена во всех учебниках: это были Ганс Кребс, Фриц Липман, Эрнст Чейн, Альберт Сент-Дьёрди и многие другие. Еще более примечательно то, что в лаборатории Хопкинса сложилась rpyппа молодых биологов левого направления, которые в тридцатые годы стремились изменить мир согласно социалистической доктрине и учению Маркса с такой же страстью, как развивать зачатки рациональной биологии. К их числу принадлежали Дж. Д. Бернал, Дж. Б. С. Холдейн, Дороги и Джозеф Нидхэмы. Не удивительно, что по наивности я принял остаточный радикализм окружения за радикализм самой биохимии.
Ко времени окончания мною университета в 1959 г. уже сформировалась молекулярная биология. Все яркие исследователи стремились работать в этой области. Мне представился случай взяться за диссертацию по вирусам для получения первой ученой степени, но я отказался. Строение ДНК и белков было уже известно, а что еще можно сделать в молекулярной биологии? Теперь нужно было использовать биохимические методы лля понимания функции, а что могло быть более загадочным, чем функция мозга? Каково самомнение, когда любой здравомыслящий человек мог бы увидеть, что начиналась великая эпоха молекулярной биологии, которую Гюнтер Стент ретроспективно назвал классическим периодом. В Кембридже предложить мне работу по биохимии мозга было некому, и мои наставники отправили меня назад в Лондон. Здесь я прибьы в огромную, красного кирпича психиатрическую клинику на холме Денмарк, где размещался институт психиатрии Модели.
Названный в честь выдающегося психиатра прошлого века, институт выглядел захудалым после оживленного Кембриджа: кучка беспорядочно разбросанных зданий в отнюдь не престижном районе южного Лондона, в которой по невежеству я не смог распознать центра, где формировались главные направления британской психиатрии во время и после Второй мировой войны. Однако очень скоро я воспрянул духом при мысли, что исследования, к которым я намеревался приступить, могли хоть в какой-то степени объяснить и улучшить состояние жалких существ, которые время от времени попадались мне в парке или в коридорах. Биохимический отдел занимал одно крыло относительно нового здания, довольно далеко отстоявшего от самой клиники. В нем работала горстка университетских преподавателей (хотя их преподавательская деятельность сводилась к минимуму и они в основном занимались исследовательской работой), а также лаборанты и студенты вместе с несколькими приезжими американцами.
Верховным руководителем этой маленькой империи был миниатюрный, но суровый шотландец Генри Мак-Илвейн, который до прихода в институт в конце 40-х годов занимался микробиологией. Поступив к нему в отдел со страстным желанием использовать биохимию для объяснения работы мозга, я вскоре понял, что моего нового шефа интересуют вопросы совсем иного рода. Мозг потребляет непропорционально большое (по отношению к его весу) количество кислорода и глюкозы, поступающих из кровяного русла, и работа лаборатории некоторое время была посвящена выяснению причин этого. Значительная часть этих веществ используется при синтезе одного из ключевых биохимических агентов — аденозинтрифосфата, или АТФ, как принято сокращать это название. Применяя в качестве метки радиоактивный фосфор, Мак-Илвейн со своими сотрудниками показал, что АТФ в свою очередь используется при биосинтезе белков особого типа — фосфопротеинов, которые в большом количестве содержатся в мозгу. Их роль оставалась непонятной, но было известно, что при повышении электрической активности мозга в них возрастает включение радиоактивного фосфора. И вот мне было поручено попытаться получить в чистом виде и идентифицировать те ферменты мозга, которые участвуют в синтезе и расщеплении фосфопротеинов.
Хотя я не мог понять, каким образом изучение этих ферментов помогало «решить проблему мозга», эта работа была мне по силам благодаря хорошей биохимической подготовке. Когда я взялся за нее, то попытался найти ей место в общей стратегии исследований и разобраться в специфике работы лаборатории, в которую забросила меня увлеченность проблемами мозговой деятельности. Очень медленно я начинал понимать, что вопреки своей неброской внешности явно антихаризматичный Мак-Илвейн был ключевой фигурой в только еще зарождавшейся тогда (50-е и начало 60-х гг.) новой научной дисциплине — нейрохимии, или биохимии мозга.
Наименования чрезвычайно важны в науке. В начале нынешнего века, еще до появления биохимии как самостоятельной дисциплины, разрозненные группы исследователей интересовались применением химических методов для изучения физиологических процессов и уже разрабатывали на некоторых факультетах университетов проблемы биологической химии или химической физиологии. Собираясь вместе для обсуждения вопросов, представлявших взаимный интерес, на заседаниях существовавших тогда физиологических и химических научных обществ они делали первые шаги к завоеванию независимости. Затем они начали проводить собственные специализированные конференции, стали называть себя биохимиками; были созданы новое общество и новое издание для публикации исследований — «Биохимический журнал» (Biochemical Journal) — два наиболее чтимых атрибута научного истэблишмента. В США ученым нового профиля не удалось так решительно порвать с прошлым: их журнал, основанный примерно в то же время, что и «Биохимический журнал» в Англии, даже теперь, после выхода 260 томов, сохраняет название «Журнал биологической химии» (The Journal of Biological Chemistry). При наличии общества и журнала исследовательская группа приобретает известный корпоративный статус: формирует собственные научные традиции и критерии достоверности, определяет важные и второстепенные проблемы и проверяет правильность оценок, публикуя посвященные им статьи. Еще важнее то, что для развития новой дисциплины в университетах создаются новые отделы или факультеты, которые начинают готовить собственных специалистов, предоставляя им возможности для научной работы и продвижения по служебной лестнице. В этом смысле биохимия была повсеместно признана как наука в конце Второй мировой войны.
Каково же было положение тех, кому было тесно в рамках старой биохимии и кто хотел разрабатывать ее применительно к какой-нибудь специальной проблеме (например, к проблеме развития и деления клетки) или к отдельной ткани, в нашем случае ткани мозга? В 50-х годах в различных биохимических лабораториях страны, даже в Кембридже, работали лишь единичные ученые, интересовавшиеся вопросами мозговой деятельности. Для большинства других мозг был просто удобным источником ткани, подобно печени или мышцам. Действительно, самые ранние биохимические исследования иногда проводились на мозге голубей; однако их цель состояла не в познании специфических особенностей мозга, а в решении общих проблем биохимии, касающихся любой животной ткани. Постановка такой универсальной задачи выглядела вполне оправданной ввиду значительного сходства биохимических процессов не только в разных тканях одного организма, но и у самых разных видов (например, АТФ был обнаружен у мух и грибов, у человека и в листьях дуба). Мы всегда пытаемся совместными усилиями выявить и всеобщие, и уникальные признаки изучаемых нами систем.
Тем не менее новое поколение биохимиков мозга, подобно прежним специалистам по биологической и физиологической химии, хотело общаться не только с теми, кто работал на печени, почках или тканях растений, но прежде всего с другими учеными, имевшими дело с мозгом. Кроме того, нужны были контакты с представителями ряда давно сформировавшихся дисциплин, тоже занимавшихся мозгом, — нейрофизиологами, нейроанатомами, возможно даже с психологами. Но здесь возникла неожиданная дилемма. Как ни странно, оказалось, что не только биохимики в большинстве своем не склонны были признать особое положение мозга среди других тканей, но даже представители отдельньк областей нейробиологии не особенно отстаивали его. Биохимики со своими методами измельчения и гомогенизации тканей и экстракции из них очищенных веществ обычно разрушали все специализированное и уникальное в мозгу, уничтожали сложную упорядоченную сеть нервных клеток с их затейливой формой и необычными электрическими свойствами. Однажды, когда я делал срезы мозга и готовился провести анализ, измельчая ткань в гомогенизаторе — этом лабораторном варианте кухонного миксера, в лабораторию пришел мой знакомый, занимавшийся разработкой математических моделей взаимодействия между нервными клетками. Понаблюдав с минуту или две за моей работой, он грустно покачал головой и, вздохнув, промолвил: «Вот и разрушена вся организация». С этими словами он вышел и больше никогда не приходил.
Таким образом, биохимики мозга оказались как бы в подвешенном состоянии, где-то между мозгом и биохимией. Под руководством Мак-Илвейна они сделали первые необходимые шаги: изобрели новое название для своей дисциплины — «нейрохимия», основали печатный орган «Журнал нейрохимии» (The Journal of Neurochemistry) и даже организацию — Международное общество нейрохимиков, которое до сих пор каждые два года проводит съезды. Однако им не удалось окончательно освободиться из-под власти науки-прародительницы (в частности, в Великобритании нет национального общества нейрохимиков — они объединены в одной из секций Биохимического общества). Университеты не спешили организовывать новые отделения нейрохимии, поэтому они возникли только в специализированных институтах вроде Института Модели. Но и там приходилось убеждать представителей давно сложившихся наук о мозге в необходимости занятий нейрохимией; с подобной проблемой никогда не сталкивались некоторые другие дисциплины, такие, например, как фармакология. По-видимому, физиологам и психиатрам было гораздо легче признать важность фармакологии, поскольку лекарственные средства — предмет этой науки — влияют на поведение.
Мак-Илвейн практиковал классический биохимический подход. Задолго до него биохимики установили, что если взять кусочек животной ткани, например печени, затем с помощью бритвенного лезвия сделать из него тонкие срезы и поместить их в ванночку с подходящей смесью солей и глюкозы, подогреваемой до температуры тела, то в биохимическом отношении ткань будет вести себя примерно так же, как в живом организме. Она по-прежнему будет использовать кислород для сжигания глюкозы, выделяя СO2, синтезируя белки и выполняя множество других сложных функций на протяжении по меньшей мере нескольких часов. Это позволяет изучать протекающие в живых клетках процессы на тканевых срезах с такой точностью и в условиях такого строгого контроля, которые совершенно немыслимы при работе с целым организмом. Мак-Илвейн исследовал этим способом ткани мозга, а затем сделал следующий шаг. Уникальные свойства мозга, рассуждал он, связаны с его непрерывной активностью. Значительная часть этой спонтанной активности утрачивается в процессе подготовки срезов. А как пойдут биохимические процессы в срезе, если стимулировать его электрическую активность, пропуская через него короткие электрические импульсы?
Мак-Илвейн проводил такие эксперименты в середине и конце 50-х годов и установил, что пропускание электрических импульсов через срезы мозговой ткани (в отличие от тканей других органов) сопровождается резким повышением использования глюкозы, кислорода и АТФ, особенно для биосинтеза фосфорилированных белков, механизм которого мне предстояло изучать. Для Мак-Илвейна это было свидетельством сохранения «физиологической дееспособности» ткани. Поскольку в срезах имитировались ключевые процессы мозга, их изучение могло бы пролить свет на функциональную биохимию этого органа. Физиологи были настроены скептически. Чувствуя, что в их науку внедряются эти ужасные биохимики со своими совершенно чуждыми идеями и языком, они поставили наблюдения Мак-Илвейна под сомнение, утверждая, что данные, полученные на таких необычных препаратах, как стимулируемые электрическим током тканевые срезы, не имеют никакой ценности: эти иссеченные фрагменты ткани почти мертвы, а их реакции — всего лишь спазмы агонизирующих клеток.
К тому времени как я поступил в отдел (1959 г.), в этой войне установилось с трудом достигнутое на основе взаимных уступок перемирие. Книга Мак-Илвейна «Биохимия и центральная нервная система» [2] (обратите внимание на осторожное «и»; позднейшие авторы не поколебались бы написать просто «Биохимия центральной нервной системы») стала настольной для всех, кто причислял себя к нейрохимикам, однако она ограничивалась инвентаризацией биохимических особенностей мозговой ткани, не слишком углубляясь в размышления о том, что все это может значить или каким образом знание уникальных химических компонентов мозга и их взаимопревращений может помочь пониманию его функций. Фосфо-протеины Мак-Илвейна и его срезы сошли со сцены в конце 60-х и в 70-е годы. Но по прошествии десяти с небольшим лет интерес к ним возобновился: оказалось, что некоторые фосфопротеины играют центральную роль в механизмах памяти, и сегодня моя лаборатория использует современные варианты тех методов, которые я изучал у Мак-Илвейна почти тридцать лет назад.
Я, правда, не уверен, что здесь нет какого-то странного совпадения. Мода в науке, как и в одежде, имеет обыкновение повторяться, хотя осознанные мотивы здесь имеют меньшее значение. К началу семидесятых годов битва Мак-Илвейна с окопавшимися физиологами за самостоятельность нейрохимии и признание правомерности работы на тканевых срезах воспринималась уже как исторический эпизод. Новое, более уверенное в себе поколение не интересовалось уже старыми спорами физиологов и биохимиков, и оно дало своей науке более всеобъемлющее название «нейронаука» (neuroscience). В США, Европе и даже в бывшем Советском Союзе нейронаука сразу же овладела воображением, поскольку давала возможность преодолеть устоявшиеся границы между научными дисциплинами и открывала путь в будущее, одновременно получая все большую долю ассигнований на исследования и привлекая все большее внимание средств массовой информации. Нейрохимия как самостоятельная научная дисциплина никогда не имела шансов на выживание; теперь же, в составе комплекса наук о мозге, который собственно и называется нейронаукой, ее существование, по-видимому, надежно обеспечено. Единственная трудность состоит в том, что организационные формы гораздо жестче, чем втиснутые в них науки. Американское Общество нейробиологов в настоящее время является, по-видимому, самым крупным научным обществом в мире: его ежегодные съезды собирают чудовищно большое число участников — до четырнадцати тысяч. Его младший (по числу членов, но не по научному уровню) европейский партнер — Европейская ассоциация нейронауки — насчитывает примерно 3000 активных членов. Однако нейрохимики старой школы сохраняют свои независимые общества, журналы и конференции, остаются верными традициям 60-х годов и, очевидно, не в состоянии пожертвовать своей с таким трудом завоеванной независимостью ради лучшей доли.
Оглядываясь назад, я рассматриваю собственное продвижение от химии к биохимии и от биохимии к нейрохимии как одно из слагаемых в последующем появлении новой генерации нейробиологов. Через несколько лет после получения степени доктора философии, в середине 60-х годов, я вошел в небольшую группу единомышленников — физиологов, анатомов, психологов, и мы основали первое нейробиологическое общество в Великобритании и, вероятно, в мире — Ассоциацию исследователей мозга. Мы исходили из того, что каждая отдельная дисциплина, изучающая мозг, не в состоянии целиком охватить этот объект и что необходимо найти общий язык и взаимопонимание, чтобы приблизиться к его познанию. Ассоциация отличалась от всех других научных обществ, которые я знал до той поры. Мы обсуждали научные вопросы на неформальных собраниях в комнате над одним из лондонских пабов. Соблюдались только три правила: выступления должны быть понятны всем присутствующим и не должны ограничиваться специальными вопросами биохимии и физиологии; на протяжении всего заседания участникам предлагалось неограниченное количество пива; и наконец, на собрания не допускались профессора, чтобы присутствующие чувствовали себя свободно и не стеснялись в выражении своих мыслей. Со временем Ассоциация исследователей мозга превратилась в национальное научное общество с филиалами в разных городах, а мы, его основатели, постарели, приобрели респектабельность и в свою очередь стали профессорами. Поэтому третье правило постепенно отпало, хотя неформальный характер собраний во многом сохранился.
Приобретя имя и облик, нейронаука стала более привлекательной для исследователей иного профиля, особенно для молекулярных биологов, которые уверовали (точно так же, как и я лет десять назад) в то, что будущее принадлежит изучению мозга. Молекулярная биология — это такая область, где любая публикация через полгода устаревает; если же прошел год и вам все-таки приходится читать статью — значит, она стала «классикой», а еще более старые публикации имеют уже только архивный интерес. Не зная истории, эта новая группа — «молекулярные нейробиологи» (!) — начала сама решать, что представляет наибольший научный интерес. Старые биохимические методы и срезы Мак-Илвейна были вытеснены новыми подходами, такими, как использование антител, клонирование и другие манипуляции с ДНК и РНК. Исследователи начали уже забывать, что мозг — это сложная структура, а не просто мешок с различными веществами. (Отношения между нейрохимиками и молекулярными биологами (и даже молекулярными нейробиологами) остаются несколько напряженными. Молекулярным биологам нейрохимия кажется безнадежно устарелой, а нейрохимикам... На ежегодном обеде, устроенном по случаю их последней международной встречи, был рассказан веселый анекдот о том, как группа террористов захватила в качестве заложников трех ученых: вирусолога, нейрохимика и молекулярного биолога. Но акция расстроилась, и заложников нужно было расстрелять. Во имя милосердия каждому дали возможность рассказать, что хорошего может дать его наука человечеству, с тем чтобы пощадить автора самого убедительного рассказа. Вирусолог поведал об открытии ВИЧ (вируса иммунодефицита человека) и был тотчас же застрелен. Потом настала очередь молекулярного биолога, но не успел он начать рассказ, как нейрохимик воскликнул: «Убейте меня, убейте меня! Я не желаю еще раз слышать, что молекулярная биология открывает нам путь в будущее!») Когда в восьмидесятых годах сами молекулярные биологи начали обращаться к физиологическим аспектам, они заново изобрели работу на срезах, по-видимому, не имея представления о том, как эта методика разрабатывалась двумя десятилетиями раньше. Мак-Илвейн и его новаторские исследования стали жертвой коллективной научной амнезии, но потом круг замкнулся и мы получили еще одно подтверждение, что мода в науке повторяется. Сейчас в моей лаборатории снова работают со срезами.
В Институте Модели я провел два года, занимаясь очисткой одного из ферментов обмена фосфопротеинов, написал свои первые научные статьи и диссертацию на степень доктора философии.
К сожалению, я мало что узнал о мозге и его функции, так как никто не позаботился дать мне эти знания и я не имел понятия, где их можно получить. Я читал работы, дававшие некоторое представление о том, как следует приступить к очистке моего фермента, освоил несколько других биохимических методов и даже научился отличать верхнюю часть мозга от нижней. Последним я был обязан тому, что, узнав кое-какие свойства фермента с мудреным названием «фосфопротеинфосфатаза», я захотел выяснить его локализацию в мозгу.
Интересно было, например, узнать, не больше ли его в сером веществе, т. е. в коре мозга, плотно набитой нервными клетками, чем в белом веществе, где проходят нервные волокна? Чтобы ответить на этот вопрос, нужно было иметь сравнительно крупные фрагменты мозга, более крупные, чем я мог получить от наших лабораторных крыс и морских свинок. И вот я стал по утрам заходить на бойню Йорк-Роуд в те дни, когда там забивали скот для получения кошерной говядины. Дело здесь не в моей этнической принадлежности, а в том, что при обычном забое животному наносят удар по голове, после которого мозг превращается в месиво, тогда как мне он нужен был неповрежденным. Для получения кошерного мяса животному перерезают горло и дают стечь крови. Получив несколько шиллингов, мясник вырезал мозг и отдавал его мне (не знаю, что по этому поводу думали раввины, надзиравшие за процедурой). Я клал мозг в термос со льдом, мчался в лабораторию и просил кого-нибудь из коллег показать мне расположение отделов мозга, о которых раньше имел представление лишь по выцветшим этикеткам с латинскими названиями на анатомических препаратах мозга и которые теперь видел в форме хорошо различимых клеточных масс. То, что оставалось, я забирал домой на ужин и какое-то время не только жил, но и буквально кормился наукой (о, невинность тех дней, когда мы не думали о холестерине...). Результаты изучения фосфопротеинов, полученных таким путем, составили первую серию моих печатных работ.
В Великобритании соискатель степени доктора философии — этот тот же подмастерье. В отличие от США, где существует формальная система подготовки, у нас вам назначают руководителя, дают тему и предоставляют самому себе. Если вас и обучают будущей специальности, то почти по принципу Уокфорда Сквирса: «Вот ты, составь по буквам слово «окно», а потом поди и протри его». Иными словами, вы приобретаете знания в процессе работы, наблюдая за старшими коллегами, пользуясь советами тех из них, с кем удается побеседовать. Именно поэтому желательно иметь в лаборатории побольше научных сотрудников, от которых недавние выпускники могут почерпнуть кое-какие знания, пока их официальный руководитель читает лекции, заседает или вообще уезжает, чтобы принять участие в работе важной конференции. Подобно тому как естественные науки требуют коллективного труда (в отличие от индивидуальной деятельности представителей общественных дисциплин), так выпускники университетов, посвящающие себя науке, извлекают пользу из совместной работы в открытой лаборатории, перебраниваясь по поводу испачканной кем-то посуды, выясняя, кто зарезервировал время для работы с центрифугой или использовал последнюю сохранившуюся в лаборатории пипетку, в атмосфере, где иерархия практически мало ощущается. За несколько месяцев пребывания в такой лаборатории недавно еще почтительный студент сживается с ее атмосферой непринужденности и критики, привыкает не верить 90 процентам прочитанного, особенно если оно написано кем-то из соперничающей лаборатории, и очень скоро избавляется от преклонения перед научными авторитетами.
Опасность состоит в том, что вы, увлекшись своей узкой задачей, начнете видеть в диссертации, которую вам предстоит написать, некий magnum opus — итоговый труд по данной теме объемом никак не меньше 450 страниц, со списком литературы из десятка тысяч названий, с размышлениями о смысле жизни в заключительной части и упоминанием важной теории, которую помогли создать ваши скромные исследования. Подобные диссертации зачастую так никогда и не завершаются, они все большим и большим грузом висят на соискателе, их окончание постоянно откладывается под предлогом улучшения и шлифовки. Правда, моя диссертация была намного короче, я стремился закончить ее и уйти из института, где я чувствовал себя не в своей тарелке. Меня, привыкшего еще в студенческие годы к атмосфере споров о природе жизни и смысле науки, угнетали здешняя тяжелая приземленность и отсутствие порыва. (Конечно, я был заражен корпоративной самоуверенностью кембриджского студенчества и усвоил его интеллектуальные амбиции в такой степени, что так никогда и не освободился от них, а это хоть кого приучит к мысли о невозможности жить иначе, как в щадящей атмосфере золотого века.)
Но даже и моя диссертация скромно выдвигала великую теорию, пытаясь доказать на основании неубедительных данных, что смысл жизни (или по крайней мере мозга) заключен в фосфопротеинах. Случилось так, что через 20 лет важное значение фосфопротеинов стало несомненным, но к тому времени уже никто, даже я сам, не помнил и не интересовался, о чем я писал в той дорого доставшейся мне заключительной главе.
(Скажите соискателю, что его выдающийся труд прочтут только научный руководитель, два оппонента да один-два товарища, после чего он будет отправлен в университетский архив и больше его никто никогда не увидит (я не говорю о следующем поколении соискателей, которые могут откопать его в поисках ответа на вопрос, как нужно — или как не нужно — писать диссертацию).)
Мой оппонент, Ганс Кребс, с непреклонностью, подобающей оксфордскому профессору, да еще лауреату Нобелевской премии и экспериментатору, воспитанному в духе немецкой дисциплины, сразу забраковал последнюю главу. Он нашел в ней слишком много философии и три орфографические ошибки, которые вежливо попросил меня исправить. Потом состоялась обычная процедура, и я был «остепенен». Кребс был прав: истинная ценность диссертации не имеет ничего общего с этим высокопарным теоретизированием. Диссертация лишь удостоверяет, что пришел конец ученичеству. Обладатель ученой степени способен самостоятельно вести исследования, и его выпускают в житейское море, где он либо выплывет, либо утонет.
Для меня это снова означало расставание с Лондоном и начало страннической жизни независимого исследователя. Кребс принял меня на три года в свой биохимический отдел, а Новый Колледж, один из колледжей Оксфордского университета, выделил мне еще одну субсидию, и у меня появилась возможность выбирать направление дальнейших исследований. Имя Кребса знает любой биохимик благодаря открытию им двух важнейших путей обмена веществ: окисления глюкозы до СО2 в клетке (известного как цикл Кребса) и образования мочевины (за что он получил Нобелевскую премию). Этот человек жил исключительно своей работой и в рамках иерархических представлений, усвоенных им от собственных учителей, предоставлял младшим коллегам ходить на поводке такой длины, что на нем можно было бы даже повеситься.
Вероятно, то была чрезмерная свобода. Размышляя над некоторыми положениями своей диссертации, я начинал немного больше задумываться над функцией фосфопротеинов, с которыми работал, но по-прежнему в строго биологическом плане. Я задавался вопросом, какова их роль в энергетике клетки. В результате этих размышлений я провел несколько не очень умных экспериментов (хотя тогда я был удовлетворен ими); теперь я думаю, что правильно ставил задачу, но не имел средств решить ее. Исследование — это прежде всего искусство формулировать вопросы, которые должны быть интересными и иметь ответы. Самые интригующие вопросы часто недоступны для экспериментального исследования, так как существенные для нас эффекты очень слабы, чтобы их можно было регистрировать имеющимися методами, или невоспроизводимы из-за невозможности контролировать все переменные. С другой стороны, ставя тривиальные вопросы, мы можем получать множество столь же тривиальных ответов. Задача состоит в том, чтобы проложить правильный курс между тривиальным и недостижимым. Иммунолог Петер Медавар однажды назвал это «искусство разрешимого». На протяжении большей части моей жизни в науке многие мои коллеги-биохимики были убеждены, что изучение памяти лежит за пределами круга разрешимых задач; лишь в последние годы у них появился известный оптимизм, и многое из того, о чем говорится в этой книге, касается причин, порождавших сомнение в прошлом, и оснований для нынешних надежд.
Не прошло и двух лет, как ограниченная классовыми и корпоративными предрассудками система колледжей в Оксфорде и возникшие расхождения с Гансом Кребсом по ряду вопросов (научная политика, выбор направлений исследования, сочетание лабораторной работы с личной жизнью) снова привели меня в Лондон. Там был новый отдел Имперского колледжа, организованный Чейном — другим изгнанником, тоже лауреатом Нобелевской премии. Будучи на несколько лет моложе Кребса, Эрнст Чейн получил эту премию за свои исследования в составе группы, базировавшейся в Оксфорде, которая в сороковые годы разработала способ массового производства пенициллина. Чейн родился в России, а образование как биохимик-микробиолог получил в Берлине. Спасаясь от нацизма, он в тридцатые годы бежал в Англию, но после войны переехал из Оксфорда в Рим, где итальянское правительство давало ему карт-бланш на организацию крупного института. В начале шестидесятых годов его соблазнили вернуться в Англию, где в Саут-Кенсингтоне строился новый отдел лондонского Имперского колледжа. Чейн в отличие от Кребса считал необходимым самому следить за работой всех своих сотрудников. Идеи, родившиеся без его участия, отвергались, хотя его собственный образ мышления не отличался ни гибкостью, ни богатством воображения, поскольку активную исследовательскую работу он давно уже променял на организационную и консультативную. Имя Чейна всегда фигурировало в числе соавторов всех работ, выходивших из отдела, каким бы скромным ни был его личный вклад. Этим он резко отличался от Кребса, который был исключительно щепетилен и подписывался только под теми работами, в которых принимал непосредственное участие.
Формированию авторитарного стиля особенно способствовало то, что по приезде в Англию Чейн получил для организации исследовательского отдела средства от Совета по медицинским исследованиям — главной государственной организации, финансирующей медицину и биологию в Великобритании. Научные сотрудники, принятые в такой отдел, в отличие от университетских преподавателей работают главным образом по краткосрочным контрактам, разрабатывая темы, предложенные директором (так обстоит дело и сегодня, хотя число подобных отделов сократилось в результате изменения научной политики и сокращения финансирования). По этой причине даже ведущие сотрудники попадают почти в крепостную зависимость от директора. Если он (местоимение мужского рода, я полагаю, очень уместно в данном случае) переходит в другой институт, что случается нередко, то весь его штат следует за ним или рискует остаться без работы. Поскольку Чейн набирал сотрудников в новый отдел, еще оставаясь в Италии, нам пришлось переехать в Рим до завершения организации лаборатории. Проведенный там год был не очень плодотворным в отношении научных публикаций, зато у меня было время написать мою первую книгу: небольшое биохимическое эссе под названием «Химия жизни», которое читают и сейчас, после выхода нескольких изданий.
Рис. 3.1. Нейрон. Обратите внимание на тело клетки с хорошо заметным ядром. От тела отходят древовидные дендриты, усеянные мелкими шипиками, и длинный аксон, разделяющийся на конце на веточки, каждая из которых несет синаптическое окончание, контактирующее с дендритами или телами других клеток. Нейроны могут иметь разнообразные размеры и форму, но у них всегда можно различить клеточное тело, дендриты, аксон и синаптические окончания.

Рис. 3.2. Нейроны головного мозга. Микрофотографии, полученные с помощью светового микроскопа, две из них (А, В) — после окрашивания по методу Гольджи, которое выделяет только некоторые нейроны, но целиком, с клеточными телами, дендритами и аксоном. Темноокрашенные клеточные тела имеют примерно 2-10 мкм в диаметре (1 мкм — это миллионная доля метра).
Микробиолог по образованию, Чейн под влиянием совей жены — биохимика Энн Беловой — стал интересоваться метаболизмом мозга и дал мне тему по использованию энергии в этом органе. Но к тому времени я уже лучше знал, какие хочу вести исследования. Если я не найду способа применить мои биохимические знания для изучения функций мозга, я с таким же успехом могу работать на печени или на пальцах ног. Определить будущее мне в это время помогла одна статья: я наткнулся на обширный обзор Холгера Хидена из Швеции, в котором он описывал и свои исследования. Это была работа такой изысканной точности, что у меня захватило дух.

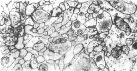
Рис. 3.3. Электронная микрофотография мозговой ткани. На таких препаратах динамичная структура мозга навсегда «заморожена» и предстает в виде запутанной массы нейронов, глии, дендритов, аксонов и синапсов.
Мозг состоит из огромного количества нервных клеток (нейронов), число которых у человека, возможно, достигает двадцати миллиардов (рис. 3.1-3.3). Однако даже это невероятное множество кажется не столь большим, когда узнаешь, что каждый нейрон погружен в массу гораздо более мелких клеток, называемых глиальными, роль которых была и остается еще менее изученной, чем роль нейронов; очевидно, они выполняют опорную, питательную и защитную функции. На каждый нейрон приходится, вероятно, по десятку клеток глии. Таким образом, биохимический анализ проб мозговой ткани означает изучение смеси нейронов и глии. Если функциональная активность мозга действительно связана с нейронами, то нужно изучать их свойства отдельно от свойств глии. Но как? В шведских лабораториях существует многолетняя традиция разработки микрометодов для анализа малых количеств материала. Хиден развил эту традицию до крайнего предела. Он выбрал определению область мозга с нервными клетками относительно больших размеров — что-нибудь около 30 миллионных долей метра (30 мкм) в диаметре. Кусочек ткани с такими клетками он помещал под секционный микроскоп, предварительно аккуратно обработав их синим красителем, чтобы сделать видимыми, и с помощью тонкой проволочки с заостренным как нож краем отделял каждую крохотную нервную клетку от окружающей массы глии. Таким образом он получил несколько десятков нейронов и сравнил их с соответствующим количеством глии. Он ухитрялся даже прокалывать клетку, словно миниатюрный воздушный шарик, приподнимать ее наружную оболочку (клеточную мембрану) и вытряхивать все содержимое, получая пустую оболочку для дальнейшего анализа. На протяжении 50-х годов Хиден с помощью знаменитых шведских микрометодов скрупулезно измерял утилизацию кислорода и определял ДНК, РНК и белки в таких изолированных клетках, сравнивая биохимические свойства нейронов и глии. Их различие наверняка пролило бы некоторый свет на специализацию нервных клеток для осуществления их уникальных функций.
Но Хиден пошел дальше, словно всего этого было еще мало. Он стал применять свои новые методы для изучения функциональных биохимических изменений в нервных клетках. Он спрашивал себя: не будут ли свойства клеток меняться под влиянием прошлого опыта крыс и кроликов, из мозга которых мы их выделим? Хиден начал изучать крупные клетки из глубинного участка, имеющего отношение к чувству равновесия. Он помещал кроликов в устройство, напоминающее детскую карусель, а крыс обучал осторожно взбираться по наклонно натянутой проволоке, к верхнему концу которой прикреплялась приманка. Оказалось, что изменение поведения у животных, несомненно, сопровождается изменениями свойств РНК и белка в нейронах, но не в глиальных клетках. Хиден разработал теорию, согласно которой следы памяти хранятся в мозгу в виде структурно-измененных молекул.
В наши дни о Хидене, как и о многих других первопроходцах, почти не вспоминают. Его микрометоды были совершенно уникальны, и другие лаборатории не могли или не желали воспроизвести их. К концу семидесятых годов сложилось мнение, что данные Хидена сомнительны или статистически недостоверны; на смену пришли новые методы и модели. Но шестидесятые годы были апофеозом Хидена. Он не переставал выступать на конференциях и семинарах, где часто приходилось слышать его низкий голос и медленную шведско-английскую речь, а его доклады иллюстрировались изумительными фотографиями клеток, выделенных с помощью микрометодов. Верю ли я теперь в эти работы? В шестидесятых — начале семидесятых годов я несколько раз приезжал в его лабораторию и заражался общим скептицизмом относительно специфичности его результатов. Но я сам наблюдал, как он с поразительным изяществом вырезал отдельные клетки, и у меня не оставалось сомнений, что по крайней мере методика его была вполне адекватной [З].
В конце XVII века голландский торговец Антони ван Левенгук изобрел микроскоп нового типа. Проводя с его помощью наблюдения, он впервые в истории человечества описал невидимый до того мир микроорганизмов (он назвал их анималькулами), которые тысячами кишели в каждой капле прудовой воды. Он зарисовывал их с поразительной точностью. Посмотрите в микроскоп Левенгука сегодня, и если вам вообще что-то удастся увидеть, считайте, что вам повезло — настолько малы и несовершенны были линзы по современным стандартам. Многие его современники были настроены скептически: они не видели того, что видел он и, возможно, были по-своему правы. Но прав был и Левенгук. Анималькулы были реальны, и открытие их перевернуло наши представления о мире живого. Может быть, Хиден — это сегодняшний Левенгук? Не следует, однако, забывать, что Левенгук рассмотрел также человеческую сперму и описал отдельный сперматозоид как подобие совершенного по форме крошечного гомункулуса, укрепив тем самым давний преформистский предрассудок относительно нашего размножения, который был изжит лишь столетие спустя.
Каким бы ни был окончательный приговор по поводу экспериментов Хидена, в свое время они гальванизировали работу нейрохимиков. Стало ясно, что биохимические методы действительно можно использовать для изучения функций мозга, включая даже память. И я сделал свой выбор.
Но как приступить к исследованиям? Микрометоды Хидена были мне недоступны, а Чейн, как всегда, скептически отнесся к моим намерениям. Если ключевым требованием бьыо отделение нейронов от глии, то, вероятно, я мог бы поискать другой способ достижения той же цели. К концу пятидесятых годов у биохимиков накопился уже целый арсенал общих методов изучения клетки. Один из них — центрифугирование — использовался для разделения клеток на различные компоненты. Работа лабораторной центрифуги основана на том же принципе, что и отжимание белья в бытовой стиральной машине. При очень быстром вращении содержащаяся в материи вода оттесняется к стенкам камеры и вытекает из нее. В биологической центрифуге пробирки с суспензией частиц вращаются с очень высокой скоростью, до 70 000 оборотов в минуту. По мере вращения суспендированные частицы под действием центробежной силы (до 500 000 g) движутся по направлению к дну пробирки тем быстрее, чем они тяжелее. Представьте теперь, что я беру кусочек мозга и измельчаю его в гомогенизаторе. Клетки разрушаются, а их компоненты переходят в суспендированное состояние. К числу таких компонентов принадлежат разнообразные субклеточные структуры, в частности клеточные ядра, содержащие ДНК, и митохондрии, в которых находятся ферменты цикла Кребса и синтезируется АТФ. Подбирая нужные сочетания продолжительности и скорости центрифугирования, можно разделять и собирать отдельные фракции клеточных компонентов. При одной из модификаций этого метода суспензию частиц вращают в растворе сахарозы, наиболее концентрированном у дна пробирки и все сильнее разбавленном в верхних слоях. Чем выше концентрация раствора, тем больше его плотность, поэтому в пробирке создается градиент плотности, направленный сверху вниз. При центрифугировании субклеточных частиц в таком градиенте они под действием центробежной силы оседают до тех пор, пока не окажутся в зоне, где их плотность и плотность раствора одинаковы. Здесь они останавливаются, уже не будучи в состоянии опуститься ниже.

Рис. 3.4. Синапс. Слева — электронно-микроскопическая картина синапса после удаления окружающего фона. Справа — рисунок, сделанный художником. Приходящие по аксону нервные импульсы вызывают освобождение молекул нейромедиатора из мелких пузырьков пресинаптического окончания. Медиатор диффундирует через синаптическую щель к шипику на дендрите, где его ожидает молекула рецептора. При взаимодействии медиатора с рецептором возникает сигнал, активирующий или ингибирующий постсинап-тическую клетку. После этого медиатор разрушается ферментами. Энергию для биохимического процесса высвобождения медиатора доставляет окисление глюкозы в митохондриях. Синапс, подобный изображенному здесь, имеет около 0,2 мкм в диаметре.
Когда в начале 60-х годов такой метод впервые применили для изучения ткани мозга, выяснилось, что эта ткань наряду со всеми обычными субклеточными фракциями — ядерной, митохондриальной и т. д. — содержит еще и частицы совсем иного типа, которые можно получить в изолированном виде. Нервные клетки контактируют друг с другом в особых участках, где происходит передача информации от одной клетки к другой. Эти участки называются синапсами (рис. 3.4). Гомогенизация мозга приводит к отделению синапсов от клеток; при этом окружавшая каждый синапс мембрана замыкается в обособленный пузырек. В результате образуются искусственно созданные «синаптические частицы» (синаптосомы), которые можно отделять центрифугированием и изучать в очищенном виде.
Это методическое достижение, необычайно расширившее возможности биохимического исследования синапсов, явилось следствием открытия, сделанного почти одновременно двумя нейрохимиками: Виктором Уиттейкером из Кембриджа и Эдуарде де Робертисом из Буэнос-Айреса. Оно сразу подсказало, как можно обойтись без микрометодов Хидена. Нужно было только научиться так «мягко» разрушать ткань мозга, что клетки разделялись бы, но оставались целыми. Тогда я мог бы подобрать такой режим центрифугирования, при котором вместо фракционирования субклеточных частиц происходило бы отделение нейронов от глии.
После нескольких месяцев проб и ошибок я уже имел работающий метод, напоминавший процедуру, которую в детстве на моих глазах часто проделывали мать и бабушка: приготовление творога из свернувшегося молока путем его процеживания через кусок муслина. Я помещал измельченную мозговую ткань в муслиновый мешочек, погружал в раствор с одним из Сахаров и слегка поглаживал поверхность мешочка стеклянной палочкой. При столь слабом давлении нейроны и глия переходили в суспендировапное состояние. Пробуя разные сочетания градиентов плотности и скоростей центрифугирования, я в конце концов выделил две фракции, обогащенные клетками того или другого типа. Я смог получать достаточные количества клеток, чтобы, не прибегая к микрометодам, можно было с помощью стандартных биохимических процедур выяснять, каким образом клетки используют кислород, какие в них содержатся ферменты и каков их белковый состав. Опубликованные мною результаты [4] были встречены с одобрением, и скептицизм Чейна поубавился до такой степени, что я получил указание подготовиться к демонстрации моей методики при открытии его нового большого отдела в присутствии королевы. Мы пользовались этим методом на протяжении следующего десятилетия, пока его не сменили более совершенные процедуры.
Теперь, когда наконец мои исследования получили функциональную направленность и можно было изучать биохимические особенности нейронов в сравнении с клетками другого типа (глиальными), я чувствовал в себе довольно сил, чтобы идти дальше. Меня совершенно завораживали выводы Хидена о биохимических изменениях, связанных с памятью. И не только меня. Неожиданно началась целая лавина новых исследований, публиковались поразительные данные о роли РНК и белка в механизмах памяти. Я написал несколько научно-популярных статей об этих работах, но больше всего мне хотелось самому участвовать в них, а я не знал, как к этому приступить. Конечно, Чейн никогда не согласится, что память — подходящий объект биохимических исследований. К тому же я ведь не был психологом и не имел подготовки в области поведения животных. Я подходил к цели боком, словно краб, и при этом почти тайком.
Память, рассуждал я, в конце концов не что иное, как особое проявление пластичности нервной системы, ее способности отвечать на воздействия окружающей среды с учетом прошлого опыта. Нельзя ли найти какую-то новую экспериментальную систему для изучения такой пластичности? Прежде чем взяться за дело, я несколько месяцев думал, что бы могло послужить подходящей системой. Крысята-сосунки, подобно детенышам многих других позвоночных, рождаются относительно неразвитыми: голыми, слепыми и малоподвижными. Глаза у них обычно открываются примерно к 14-му дню жизни. В течение этих двух недель мозг у крысят быстро развивается, и к тому моменту, когда они становятся зрячими, в нем уже имеются почти все нервные и глиальные клетки, а между нейронами образовались мириады синаптических связей. Напротив, у морских свинок детеныши появляются на свет полностью покрытыми шерстью и с открытыми глазами; они готовы бежать за матерью, когда она отправляется на поиски корма. Различие между этими двумя биологическими типами приобрело для меня особое значение, когда через несколько лет я начал работать с цыплятами.
Но пока мое внимание было сосредоточено на ранних стадиях развития нейронов и синапсов у крысят. Я решил, что первое знакомство со светом должно быть для них важным событием, дающим новый опыт и приводящим, вероятно, к глубоким изменениям в центральных нейронах. Чтобы контролировать ход событий, я держал беременных самок в полной темноте. В этих условиях они рождали и выкармливали детенышей, и только через семь недель я впервые выпускал теперь уже взрослых молодых крыс на свет. Насколько можно было судить, полная темнота в период роста не сказывалась на общем состоянии крысят: они прибавляли в весе и развивались точно так же, как при нормальном чередовании дня и ночи. Следует, разумеется, помнить, что в обычных условиях крысы ночные животные. Днем они в основном спят и только ночью выходят на поиски корма и для взаимного общения. Поэтому зрение для них не самое важное чувство, во всяком случае значительно менее важное чем, например, обоняние.
И все-таки первое световое воздействие вызывало глубокие биохимические изменения. Они, в частности, выражались в резком усилении биосинтеза белков в нейронах зрительной области мозга, хотя в других отделах, например в моторных, аналогичных изменений не было. Я стал сотрудничать с нейроанатомом Брайеном Крэггом, который тоже работал в Лондоне, в Университетском колледже. Он согласился провести сравнительное электронно-микроскопическое исследование структуры зрительной зоны мозга (зрительной коры) у крыс, выросших в темноте и при обычном световом режиме. Подсчитав синапсы в зрительной коре, Крэгг обнаружил небольшое, но статистически достоверное увеличение их числа как раз в тот период, когда я отмечал усиление белкового синтеза. Приобретение нового опыта явно сопровождалось как биохимическими, так и структурными изменениями в зрительной области мозга. Биохимические, анатомические и функциональные сдвиги, видимо, шли параллельно. На основании полученных результатов мы подготовили статью для ведущего научного журнала Nature («Природа»), и я представил ее Чейну, чтобы получить одобрение на публикацию. Он был категорически против. Он вообще не жаловал анатомию, а к данным Крэгга отнесся особенно неодобрительно; кроме того, мы не спросили его согласия на проведение экспериментов. Все наши доводы никак не могли убедить его. Поэтому Крэгг и я поделили результаты и одновременно опубликовали две статьи [5], в одной из которых излагались анатомические наблюдения (за подписью Крэгга), а в другой — мои биохимические данные. Однако смеяться последним пришлось не мне: в последующие годы на анатомическую работу ссылались гораздо чаще, чем на мою биохимическую.
Вскоре после появления наших статей в Nature в 1967 году в Лондоне прошло заседание Королевского общества, на котором я доложил полученные Крэггом и мною данные. Когда оно окончилось, ко мне подошел этолог Пэт Бейтсон, сотрудник станции по изучению поведения животных в Мэдингли (Кембридж). (Сейчас, после работы директором этой станции, Пэт является ректором Королевского колледжа.) В то время он занимался проблемой импринтинга у кур. Все, что я тогда знал об импринтинге, было почерпнуто из книги Конрада Лоренца «Кольцо царя Соломона», где было описано, как гусята, вылупившиеся из яиц и прежде всего увидевшие его резиновые сапоги, с тех пор всегда следовали за ним словно за гусыней. (Тогда мне были неизвестны менее привлекательные стороны личности Лоренца, его сотрудничество с нацистскими партиями Германии и Австрии и энтузиазм по поводу генетического детерминизма и расовой биологии [6].) Что бы ни представлял собой импринтинг, было очевидно, что это одна из форм научения, а куры могли бы стать идеальным объектом для изучения биохимической основы этого феномена.
Пэт сказал мне, что он и его коллега, анатом Габриел Хорн, очень интересуются клеточными и биохимическими механизмами импринтинга у кур, но не могут найти в Кембридже биохимика, который захотел бы сотрудничать с ними. Не соглашусь ли я? Спустя несколько дней я приехал в Кембридж, чтобы посмотреть, как Пэт осуществляет процедуру импринтинга на своих цыплятах, и перекусить с ним и Габриелем сэндвичами; в последующие семь лет это превратилось в традиционные встречи за ленчем в Королевском колледже, во время которых мы планировали эксперименты на цыплятах и обсуждали все более интригующие результаты этих исследований.
Согласно общему плану работы, Пэт обучал цыплят, готовил и кодировал пробы тканей и отправлял их ко мне в Имперский колледж для биохимического анализа, не указывая, каким воздействиям подвергался тот или иной цыпленок. Эксперименты с самого начала шли успешно. Они тщательно планировались, и сотрудничество Пэта (специалиста по поведению), Габриела (анатома и физиолога) и автора этой книги (биохимика) в высокой степени оправдало себя. Мы пришли к выводу, что символизируем будущее, когда в результате общих усилий представителей разных дисциплин, изучающих мозг и поведение, нейробиология станет интегрированной наукой. Я был уверен, что найду способ договориться с Чейном или обойти ожидавшиеся помехи с его стороны.
Оказалось, что беспокойство было напрасным. Через несколько месяцев после публикации наших совместных статей в Nature [7] я был назначен профессором биохимии во вновь организованном Открытом университете. Мне было чуть-чуть за тридцать, и я готовился всецело посвятить себя исследованию памяти.
Более 800 000 книг и аудиокниг! 📚
Получи 2 месяца Литрес Подписки в подарок и наслаждайся неограниченным чтением
ПОЛУЧИТЬ ПОДАРОК